治療日記 7 前歯のデコボコがならんできました。

「ならんできた。うれしー。」
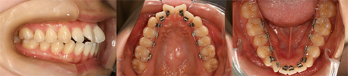
上の前歯に装置を装着して約1ヶ月。主訴だった前歯のデコボコがだいぶ並んできました。



「ならんできた。うれしー。」
上の前歯に装置を装着して約1ヶ月。主訴だった前歯のデコボコがだいぶ並んできました。

上下ともに順調に改善してきてると思います。

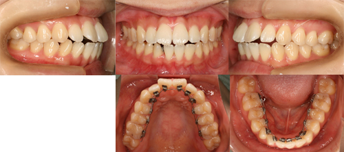
上下に装置が付きました。
「装置気になるけど、付いてうれしい。早くこんな風に並べばいいな。」

前回の上顎の装置に引き続き、今回は下の歯に矯正装置を装着しました。治療後、自分の初診時の歯型と治療終了時の予測模型(セットアップ模型)とを比べて眺めています。
「痛くはないけど、サ行がちょっと言いにくいかも・・・!?」
「この装置は4~6カ月間使用します。1週間~1カ月くらいで慣れてきて以前と遜色ないくらいふつうに話せるようになると思いますよ。」
「でも、思ったより平気。もっと痛いと思ってました。」
抜歯せずに前歯のデコボコをならべるために犬歯と奥歯を横に広げるための装置を装着しました。犬歯間を左右に広げ、前歯4本が並べられるだけのスペースを作っていきます。