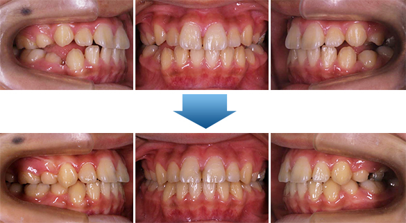
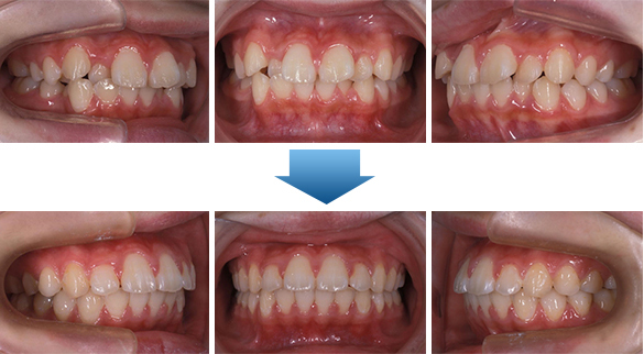
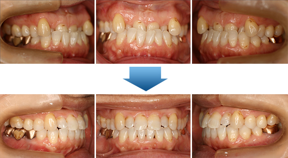
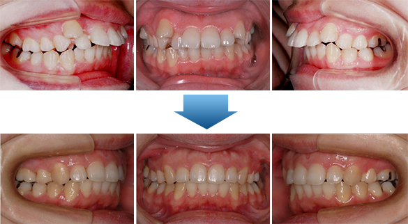
矯正治療日記 その5 歯列拡大中

上顎の装置を交換しました。
STb(Ormco社)という装置を使っています。Dr.Scuzzo、Dr.Takemoto(院長梅木の開業する前のボスです。)2人の裏側矯正のトップランナーにより開発された装置で現時点で世界中で最も使われている舌側矯正用の装置です。我々術者側にとっては歯のコントロールを行いやすいとてもすぐれた装置であり、なおかつとても小さい装置ですので食事や発音など患者さん側も装置への違和感を極力感じることなく治療を進めていける双方にメリットの多い装置だと思います。じゅんさんの発音もほとんど問題ありませんでした。食事はせんべいなど硬い食べ物を控えめにしていただければふつうに食事していただいて大丈夫です。
下顎はSTb装着1ヶ月ほどですが、すでに少しずつならんできています。








