


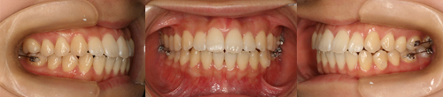
左犬歯部のかみ合わせがだいぶ良くなってきました。裏側矯正治療開始から1年と少し経ちましたがそろそろ終了に近づいてきていると思います。噛み合わせに加えてじゅんさんが気になるところを微調整しています。

引き続き左側のかみ合わせを改善中です。前回と比べてかみ合わせが良くなってきています。

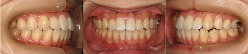
2週間前に左上親知らずを1本抜いていただきました。
引き続き左側のかみ合わせを改善しています。

引き続き上の前歯を後ろに下げています。前回から比べて少しずつ引っ込んできています。
一方、左のかみ合わせがなかなか改善しません。ご本人はできれば避けたいと仰っていますが「もう少し動きやすくなると思うので左上の親知らずを抜いていただくかもしれません。」とご提案させていただきました。