12

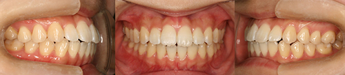
前歯を後ろに下げています。前回から比べて少しずつ引っ込んできています。



前歯を後ろに下げています。前回から比べて少しずつ引っ込んできています。

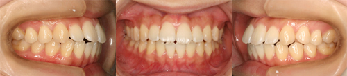
だいぶ前歯も咬み合ってきました。今後しばらく前歯と左横の咬み合わせを改善していきながらもう少し前歯を引っ込めて行く予定です。
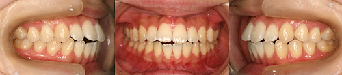
今回も前回と同様に前歯の咬み合わせの改善をメインに治療を進めています。

前歯咬み合わせのすき間が小さくなってきています。
今回も前回と同様に前歯の咬み合わせの改善をメインに治療を進めています。

矯正治療を開始してからほぼ半年が経過しました。順調に改善してきていると思います。
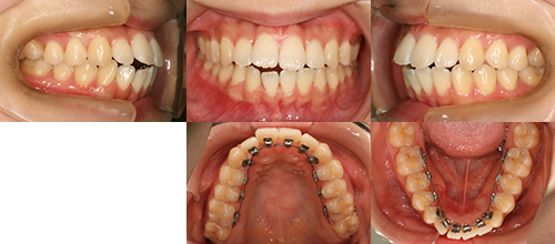
舌で前歯を押してしまう癖があるためか前歯の咬み合わせがまだ浅いままなのですが、今後少しずつ改善していきます。

デコボコを並べるにはどうしてもスペースが必要になりますので、上下ともにデコボコを改善している場所にはわずかながらすき間ができてます。じゅんさんはそれが少し気になっている様です。
「1~2ヶ月だけ我慢してくださいね。このスペースを使ってきれいに並べていきますので。」